Restorative Services
Having a flawless-looking smile isn't always easy. Teeth can crack and chip, decay can lead to cavities and discoloration, and gaps and missing teeth can leave unsightly spaces. No matter how far your teeth are from perfection, restorative dental services can fix all of these cosmetic issues and more, unlocking the smile of your dreams.
If you have teeth in need of restoration services, Tooth Doc Family Dentistry has the treatment to fix imperfections in your smile. Herndon dentist Dr. Ahmad has years of experience in crafting smile makeovers ranging from basic restorations to full-mouth overhauls.
Tooth-Colored Composite Fillings
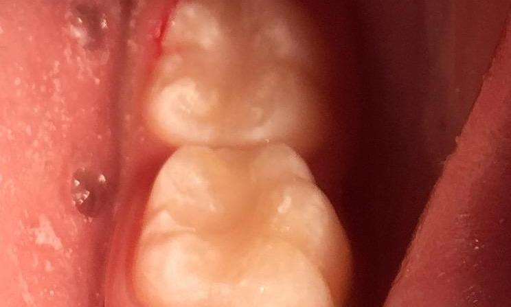
For years, the dental industry standard for filling material was silver amalgam. These fillings leave much to be desired, particularly from an aesthetic standpoint. The silver-gray material can show through translucent enamel, giving your teeth a grayish appearance. The amalgam is susceptible to temperature fluctuations, leading to cracking teeth and “leaking” fillings that invite recurrent decay. They also require removal of more healthy tooth material to give the filling a sufficient anchor and keep it in place.
Today's modern dentistry technology offers a significant advancement from the amalgam fillings of old: tooth-colored composite resin fillings. These fillings can be custom-mixed to match your teeth exactly, eliminating the grayish discoloration. Composite fillings are chemically bonded to your teeth, allowing us to leave more of your healthy tooth in place. Composite fillings give you a beautiful smile for years.
Composite fillings can be used to fix a range of dental issues, including filling cavities after the decay is removed, filling in missing tooth material from chips and cracks, and even closing gaps between teeth. They offer a beautiful, natural-looking restoration if you have a less-than perfect smile.
Restore Your Bite with Natural-Looking Dentures
If you have several teeth missing, removable dentures can provide a low-cost alternative to surgical implant restoration. There are two types of dentures available: partial dentures, which can be used if you still have some healthy teeth remaining, and full dentures, which replace all of your teeth in one arch (upper or lower teeth) or both arches.
Partial dentures don’t just improve the appearance of your smile and restore your ability to chew properly; they also help to keep your remaining healthy teeth in proper alignment, which can help you retain your remaining teeth longer and leave the option of surgical implants available. Partial dentures attach to your remaining teeth for stability.
Full dentures are created to mimic your natural teeth and gums. They are an acrylic appliance that is held in place with natural suction. Full dentures will restore your smile and allow you to eat a full range of foods. They also help to eliminate the “sunken” look many people have around their mouths when they are missing several teeth.
Both partial and full dentures can last many years with proper care. You should clean your dentures daily with an ADA-approved denture cleaner. Never allow acrylic dentures to dry, or they may warp and need to be remade. Dentures are fragile and can break with a drop of even a few inches, so always hold your dentures over a towel or a sink filled with water when not wearing them.
Restore Your Smile Today
If you are interested in any of the restorative services we offer or want to find out what is right for you, call our Herndon dental office today to schedule a consultation appointment.
