Invisalign
A beautiful & healthy smile starts here!

Invisalign | Dentist

Invisalign

Do you have crooked, gapped, or uneven teeth? Does your bite need correcting? Are you reluctant to go through the discomfort and unsightly appearance of metal braces to get the smile of your dreams?

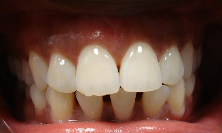
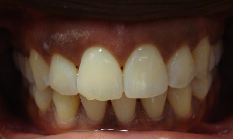
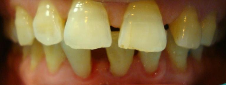
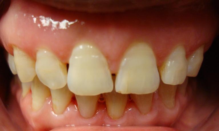
With Invisalign, you don't have to. Invisalign treatment can fix gaps, overbites, underbites, crooked and misplaced teeth gently and with little to no pain. And the best part is, no one will ever know you're wearing them!

Why Should I Choose Invisalign?

Invisalign is an excellent alternative to traditional braces. With Invisalign, there are no brackets or wires, no painful adjustments, and no limiting what you can eat. The Invisalign system uses a series of clear plastic trays customized to your teeth. These trays allow you to correct a wide range of orthodontic dental issues simply and comfortably. Each new set of custom trays, or aligners, will gradually and gently shift your teeth into the correct position.

Invisalign offers many advantages over traditional braces, such as:

  • Invisalign requires fewer manual adjustments than traditional braces, resulting in less time spent in the dentist's chair.
  • Invisalign's clear plastic aligners are nearly invisible when in place, allowing you to correct your smile without unsightly metal brackets and wires.
  • The smooth plastic of the Invisalign aligners is much more comfortable than traditional braces with brackets and wires that often have sharp ends.
  • Invisalign can be removed while eating, so you can continue to eat whatever you like.
  • The gradual, gentle adjustment used by the aligners means less pain and discomfort during treatment.
  • Since the trays are removable, you can continue to brush and floss normally while using Invisalign. This means better oral health and fewer issues with decay than with traditional braces.

How Do I Use Invisalign?

Herndon dentist Dr. Ahmad will inspect your teeth during your consultation and discuss your treatment goals with you. If you're a good candidate for Invisalign, we'll take x-rays and impressions of your teeth so that the custom trays can be created.

When your aligners are ready, we'll ensure a proper fit and then send you home with instructions on how to use them. Every few weeks you'll move to the next set of aligners in the series, with follow-up visits to our office approximately every six weeks to monitor your progress.

For the best and fastest results, you should wear the aligners for 20 to 22 hours per day. They're comfortable and secure enough to sleep in and only need to be taken out while you're eating and brushing/flossing. Remember to clean the aligners when you brush.

How Long Does Invisalign Take?

Treatment length varies depending on how severely your teeth are misaligned. Some treatments can be completed in as little as four to six months, while more complex treatments can take two to three years. On average, Invisalign treatment is generally twelve to eighteen months. Dr. Ahmad will discuss the approximate length of your treatment during your consultation.

Give Yourself a Beautiful Smile with Invisalign Treatment

If you are interested in improving the appearance of your smile with the Invisalign system, call our Herndon, VA dental office to schedule a consultation today!
 

Testimonial

Dr. Imaney Ahmad is Honestly The Best Dentist I’ve Ever Been To.

Dr. Imaney Ahmad is honestly the best dentist I’ve ever been to. She’s so kind, gentle, and really takes her time to make sure you’re comfortable. The whole team is friendly and welcoming, and the office has such a calm, clean vibe. I actually don’t dread going to the dentist anymore thanks to her! Highly recommend.

- Sumaiya

Frequently Asked Questions

Our office is proud to be a provider of the Invisalign system. Invisalign offers orthodontic treatment to correct a wide range of problems, including crooked teeth, gaps between your teeth, overcrowding, and bite problems.

Invisalign offers you a way to straighten your teeth without the unsightly and uncomfortable brackets and wires involved in traditional braces. The Invisalign aligners are comfortable, clear plastic trays custom made to fit your teeth. The clear plastic trays are practically invisible when they're in place, allowing you to correct your teeth without anyone knowing you're undergoing orthodontic treatment.

Every few weeks, you switch to the next set of aligners in the series, gradually adjusting your teeth into the right position through small changes in the fit of each set of aligners. The gentle, gradual adjustments will help your teeth and gums grow accustomed to the new positions, helping to keep overall treatment times down.

Other benefits of Invisalign include:

  • Gentle tooth adjustments that lead to less pain during your orthodontic treatment
  • Removable aligners, which don't limit what you can eat while using Invisalign
  • No need to perform adjustments, meaning fewer visits and quicker dental appointments during treatment

If you are interested in finding out if you are a good candidate for the Invisalign system, call our office today and schedule a consultation exam.
 

  • Imaney N. Ahmad DMD

    Dr. Ahmad proudly serves patients in the Herndon, VA community, including Reston and Sterling. Originally from New York and Central Florida, she earned her Doctorate in Dental Medicine from Temple University’s Kornberg School of Dentistry in 2010.

    During her time in Philadelphia, Dr. Ahmad gained extensive clinical experience treating one of the nation’s largest dental school patient populations, with a special focus on serving underserved and uninsured communities in North Philadelphia. That experience helped shape her deep commitment to community care and access to quality dentistry.

    View